Banobagi column
원장님 칼럼
최제원 원장의 치아이야기
| 돌출입교정, 발치를 반드시 진행해야 하나요? (비발치 돌출입교정 증례) |
작성일 | 2025.12.17 |
|---|---|
|
“기존 치아를 제거해야만 입이 뒤로 들어간다고 해서 교정을 주저하게 됐어요.”
안녕하세요. 바노바기 일레븐치과 대표원장 교정과 전문의 최제원입니다.
돌출입으로 본인 외모에 대해 단점을 느끼고 계신 분들 중 위와 같은 고민으로 인하여 내원을 미루시는 분이 많습니다.
물론 보편적인 케이스에서는 작은 어금니 2~4개를 뽑아 적절한 공간을 확보한 다음 전치부의 후방이동을 통해 입이 들어가게 만들어줍니다.
그러면 영구치를 보존하면서 튀어나온 입을 뒤로 넣어주는 방법이 존재하지는 않을까요?
오늘은 제가 예전에 담당한 구체적인 케이스를 살펴보고, 이를 통해 발치여부의 기준을 자세하게 정리해보았습니다.
더불어 평소 환자분들께서 자주 질문해주신 부분들도 QnA로 정리하였습니다.
- 목 차 -
1. 초기 진단 2. 치료과정 3. 달라진 점 4. 누구나 비발치가 가능할까? 5. Q&A : 자주 물어보신 질문
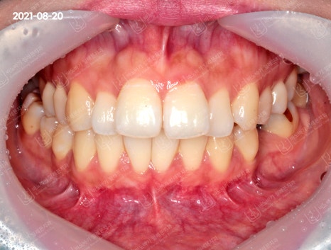
1. 초기 진단
지금부터 알아볼 여성분께서는 돌출입을 교정하시기 위해 상담을 받고자 내원하셨습니다. 과연 어떤 문제가 있었을까요?
입술이 살짝 앞으로 나왔네요. 이런 부분이 전체적인 이미지를 촌스럽게 보이도록 만들어주는 주된 원인으로 작용하였습니다.
좀 더 구체적으로 살펴보고자 두경부 엑스레이를 촬영한 다음 골격 부조화를 검토하였습니다.
방사선 사진으로 보았을 때에 위턱과 아래턱 간 상하 균형이 적절한 수준으로 관찰됐습니다.
턱뼈의 크기도 이상이 없으며, 무턱 양상도 잘 안 보였습니다. 다만 앞니가 약간 깊게 물린 과개교합으로 확인되었습니다.
치아 사진을 촬영해보았는데요. 윗니와 아랫니가 생각보다는 깊이 물린 것 같진 않았습니다.
다만 상악 전치 4개의 배열이 불규칙한 것으로 나타났습니다. 하악 치열도 비뚤어져 있었고, 이로 인해 중심선이 어긋나서 불일치하는 경향을 보였습니다.
측면 교합도 살펴보았습니다. 앞니가 앞으로 크게 기울어져 입을 도드라져 보이게 만드는 핵심적인 원인으로 작용했네요.
게다가 어금니(제2소구치) 또한 탈락한 것으로 확인되었습니다. 돌출입 교정 시에 이런 부분을 종합하여 계획을 수립했습니다.
2. 치료과정
이번 케이스의 환자분께서는 먼저 내원하셨던 다른 곳에서 발치를 요한다는 진단을 받고 교정를 망설였다고 하셨습니다.
일반적으로 이러한 경우에서는 이미 탈락한 곳이 있는 만큼, 다른 치아 3개를 제거한 다음 교정을 한다고 알려졌습니다.
다만 본인이 옆모습에 대해서 적절한 외모변화를 원하셨기에, 입이 너무 많이 들어가는 것은 오히려 만족스럽지 못한 결과로 이어질 수 있음이 예상됐습니다.
그래서 영구치가 소실된 곳에 임플란트를 식립하기로 하고, 비발치로 공간을 확보하고 상악 치열 전반을 후방으로 충분히 당겨 움직였습니다.
상악은 우선 악궁확장을 통해 좁은 배열을 좌우로 넓혀주고 설측방식으로 앞니를 정리해서 가지런하게 만들어주었습니다.
하악에서도 치아 안쪽 방향에 장치를 부착하는 방식을 통해 돌출입을 교정하였습니다.
브라켓이나 와이어로 발생하는 심미적인 단점을 극복하면서 치열 전체의 후방이동에 있어 옥니 등 부작용이 생기지 않게 충분히 신경을 기울였습니다.
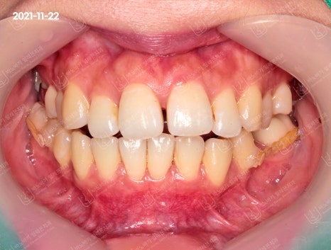
교정이 진행 중인 사진
환자분께서는 설측방식 덕분에 교정할 때 장치가 보이지 않아 어디서든 자신 있게 웃는다며 만족스럽다고 말씀하셨습니다.
물론 이렇게 브라켓을 안쪽에 부착하고 와이어를 연결하면 중간점검이 까다로워지는 만큼, 난이도가 높다고 볼 수 있어요.
3. 달라진 점
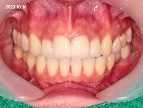
이렇게 어렵고 복잡한 술식으로 영구치를 안전하게 보존하면서 외모의 변화를 이끌어냈습니다. 무엇이 얼마만큼 바뀌었을까요?
튀어나온 입술이 들어갔습니다. 심미선 안쪽으로 위치하게 되어 이상적인 안모가 완성되었네요. 세련된 인상으로 바뀌셨습니다.
본인도 직접 거울을 살펴보시고 오래된 콤플렉스가 해결됐다며 무척이나 기뻐해주셨습니다.
물론 앞서 언급을 한 것처럼 돌출입교정이 진행됨에 있어서 발치가 이루어지진 않았습니다. 별도 다른 수술도 없었습니다.
다만 전체 치열의 후방이동과 전치부의 각도를 재조정하면서 외모적 측면에 있어 이상적인 좋은 결과를 이끌어냈습니다.
임플란트도 잘 완성되었습니다. 외관상으로도 심미적인데다가 기존 어금니의 저작기능까지 수행할 수 있게 만들었습니다.
물론 그러면서 다른 치아가 빠진 곳으로 기울어버린다거나 움직이는 현상도 방지했습니다.
앞니도 좀 더 말끔해졌습니다. 덧니 때문에 겹쳐졌던 곳이 가지런한 모습으로 정리됐고, 중심선까지 일치시켰습니다.
그러면서 구강 내 위생관리도 예전보다 더 수월해졌습니다. 기능적인 단점이 해결됐네요.
악궁 모양도 좀 더 이상적인 U자형 아치로 완성됐습니다. 추가적인 조치를 요하지 않아 고정성 유지장치를 부착하여 교정을 마무리하였습니다.
4. 누구나 비발치가 가능할까?
이렇게 오늘은 일레븐치과에서 실제 진행했던 임상케이스가 어떤 식으로 이루어졌는지를 여러분과 함께 알아보았습니다.
이번 사례에서는 모든 치아를 온전히 보존하면서도 동시에 튀어나온 입을 들어가게 해서 달라진 외모를 완성했습니다.
이처럼 경우에 따라 얼마든지 비발치 방식을 통해 옆모습이 달라질 수 있다는 점에 대해 말씀을 드리고 싶었는데요.
물론 골격부조화가 심하거나 환자분 본인이 갖고 계시는 안모 변화의 니즈에 따라서 발치를 진행할 수도 있습니다.
다만 유치가 아닌 영구치는 한번 제거한 이후부터는 다시 재생되지가 않기 때문에 발치 여부는 무엇보다도 가장 신중하게 결정해야만 합니다.
여기서 정확한 판단을 내리려면 그만큼의 임상경험은 물론이요, 기술적으로도 충분히 숙련된 의학적 역량을 갖추어야 합니다.
5. Q&A : 자주 물어보신 질문
끝으로 환자분들께서 평소 자주 물어보신 문의사항을 질의응답을 정리해보았습니다.
Q. 비발치로 하면 옆모습 변화(입 들어가는 정도)가 발치 교정보다 많이 떨어지지는 않나요? A. 반드시 그렇지는 않습니다. 돌출 정도가 중등도 이하이고, 턱뼈 위치나 입술 두께가 크게 과도하지 않은 경우라면, 비발치라도 악궁 확장·전체 후방이동·앞니 경사 조절을 잘 이용해서 발치 교정에 근접한 정도로 입을 넣을 수 있습니다. 다만 입이 많이 나온 상태이거나, 뒤로 보낼 “골격적인 여유”가 거의 없는 경우에는 비발치로는 한계가 있습니다. 이럴 때는 발치교정이 오히려 적절하다고 볼 수 있습니다.
Q. 비발치 돌출입 교정은 보통 치료 기간이 얼마나 걸리나요? A. 실제로는 발치·비발치 모두 2~3년 정도를 잡는 경우가 가장 많습니다. 어떤 방법을 쓰느냐보다, 돌출·총생이 얼마나 심한지, 악궁 확장이나 전체 후방이동이 얼마나 필요한지, 미니스크류 사용 여부, 고무줄·내원 간격 및 환자의 협조도와 같은 요소들이 기간을 더 많이 좌우합니다. 비발치라고 특별히 빨리 끝난다기보다는, 비슷한 범위 안에서 케이스 난이도에 따라 치료기간에 차이가 생긴다고 보시는 게 현실적입니다.
Q. 발치를 권유받았는데, 다른 치과에서 한 번 더 진단을 받아봐야 할까요? A. 발치는 한 번 진행하면 다시 돌려놓을 수 없기 때문에, 마음이 계속 걸리신다면 교정과 전문의에게 2차 의견을 들어보셔도 전혀 무리가 없습니다. 특히 최근에는 미니스크류 등의 고정원이나 상악 구개 플레이트를 활용하면서, 발치 케이스 중 일부를 비발치로 진행한 국내 임상증례들도 보고되었습니다. 물론 그렇다고 해서 “발치는 무조건 나쁘다”는 의미는 아닙니다. 발치교정이 더 안전하고 합리적인 경우도 분명 존재합니다.
6. 글을 마치며 발치여부를 알아보았습니다. 아무쪼록 여러분께서도 부디 본인에게 가장 안전한 방법으로 건강한 아름다움을 얻게 되시길 진심으로 응원하겠습니다.
긴 글 읽어주셔서 감사하며, 지금까지 바노바기 일레븐치과 최제원 대표원장이었습니다. |
|


































.jpg?type=w580)

.jpg?type=w580)