“「思いきり笑うあなたが、
いちばん美しい。”
バノバギイレブンが、
2時間でその笑顔を引き出します。
-
午前10時 来院後、カウンセリングと検査
STEP 01 院長カウンセリングによる
デザイン診断STEP 02 3Dスキャン後、
シミュレーションを作成 -
オーダーメイド歯
チップ製作STEP 03 院内技工室で
プチラミ製作 -
午後2時
ピックアップ
STEP 04 2時間後
プチラミ受け取り
カウンセリングと検査は30分ほどです。
完成のご連絡後、
お受け取りにお越しください。
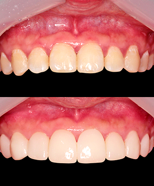
貼って外せる新しい発想のラミネート
「バノバギイレブン プチラミ」が
あなたの大切な瞬間を、
いちばん美しく守ります。
外出10秒前、
自信をもって思いきり笑う
イレブンプチラミ
バノバギイレブン プチラミは 取り外しができるラミネートで、
歯の表面と同じ素材と光沢で
オーダーメイド製作する 歯のチップです。
-
# 特別な瞬間にはプチラミ
負担を減らし
美しさをプラスした
新しいソリューション
-
- 面接
- 結婚
- パーティー
- 紹介デート
- 記念日
- プロフィール撮影
バノバギイレブン プチラミの
特別さ
矯正専門医が直接診療し、精密に仕上げます
-
来院当日、2時間で
完成するプチラミスピード完成!
-
歯を削る負担なく
美しく整うスマイルライン歯の無削除
-
3Dスキャナー+RAYFaceと
院内自社技工所のノウハウ超精密
カスタム歯 -
簡単な装着方法と
違和感のない自然さメリットだけ
を集めて!
-
-
バノバギイレブン プチラミ
矯正専門医、歯周病専門医など
専門医療スタッフが高性能3D口腔スキャナー、
3D CTや最新の先端設備を使用し
迅速かつ精密で正確に施術を行います。
BANOBAGI ELEVEN DENTAL CLINIC
-
5D顔面スキャナー RAYFace
骨格・歯・神経などの主要な解剖学構造を分析し可視化します。
顔面スキャンと口腔スキャンデータを精密に統合し
患者の状態を立体的に確認できる統合データを完成させます。
-
3D 腔スキャナー
SIRONA Primescan腔内の状態をそのまま再現する
先端3Dスキャナーを使用し
データを取得し
埋入位置や対合歯との咬合まで考慮して
正確に診断します。
-
3D CT X-ray
顔面骨や顎関節の形態、歯の形状、
咬合状態などを立体的に把握し診断します。 -
院内 自社技工所
専門の歯科技工士がオーダーメイドで製作します。
-
3D CT X-ray
顔面骨や顎関節の形態、歯の形状、
咬合状態などを立体的に把握し診断します。
セレブも認めたバノバギイレブン
多くの方がバノバギイレブンで治療を受けています!
プチラミ FAQ
-
プチラミとは何ですか?
プチラミ(Petit Lami)は、簡単に言うと「貼るラミネート」と説明できます。
より正確に言うと、貼って外すことができる再使用可能な歯のチップです。
女性の方がネイルアートの際に爪に装着するネイルチップを想像していただくと、よりイメージしやすいと思います。
患者様ご自身が歯科用接着剤を使って歯に装着することができ、
一度装着すると約4時間ほど維持されます。
そのため、すぐに歯の施術を希望しない方や時間がない方の中で、
大切なイベントや予定がある方が 手軽に使用できる一時的なラミネートとして利用されています。
実際にプロフィール写真の撮影や、結婚式・紹介デート・面接などを控えた方が多く使用しています。 -
一般的なラミネートとは何が違いますか?
プチラミは、一般的な歯のラミネートとはいくつかの違いがあります。
まず、歯を「まったく」削らないという点で、より安全だと言えます。
従来のラミネートは、前歯に半永久的に装着する補綴物の一種で、
歯並びが整っていても、厚みのために一定量のエナメル質を削る必要があります。
歯並びの不規則さが大きい不正咬合(悪い歯並び)の場合は、その分削る量も増えることになります。
これに対してプチラミは、患者様の歯並びに合わせて製作されるため
「完全無削除」で歯を整って見せることが可能です。
また、患者様のご希望に応じて歯のチップの色味や明るさを調整することもできます。
そのため、十分に審美的な結果を期待することができます。 -
八重歯が強くてもひどくても使用できますか?
従来のラミネートは、八重歯によって歯並びの不規則さが大きいほど、歯を多く削る必要があります。
もちろん、その分副作用のリスクも大きくなります。
それでは、貼るラミネート「プチラミ」はどうでしょうか。
八重歯が強いひどい前歯にも装着して使用することはできるのでしょうか。
はい、もちろん可能です。
歯並びの構造を立体的に分析したうえで、
患者様が希望される色味や印象を考慮し、
既存の歯の形状に合わせて製作されるため、
歯並びの不規則さが大きい不正咬合(悪い歯並び)の場合でも、
十分に装着してご使用いただくことが可能です。 -
どのような過程で作られますか?
まず、患者様の歯の色・形・全体的な配列を分析し、
5D顔面シミュレーションによって得られた診断結果をもとに、
院内に設けられている技工室でプチラミを製作します。
制作は半日(約2時間)で完了します。
例えば、午前10時に来院してカウンセリングと検査を行えば、
近くで軽く昼食を取り、コーヒーを一杯飲んで戻ってくる頃には
プチラミを受け取ることができます。
もちろん、従来の前歯ラミネートとは異なり、永久的に使用できるものではありません。
そのため、一定回数以上使用すると再製作が必要になります。
ただし初診とは異なり、再診の場合は検査時間が不要なため、
予約後に来院されれば、その場ですぐに
プチラミを受け取ることができます。 -
装着後に注意することはありますか?
プチラミは一時的な審美ソリューションです。
そのため、装着した状態で食事をすることは難しいと考えられます。
そのため、大切なイベントや予定の際に戦略的に活用するものです。
ただし、日常的に会話をする際の違和感や異物感はほとんどありません。
自然に話したり笑ったりすることができ、
笑ったときに明るく見える歯並びによって
より自信を持つことができるでしょう














